Welcome To Advanced Lisle Dental’s Smile Gallery!

Your smile reflects your confidence, and at our practice, we take immense pride in helping patients achieve results they can feel great about.

If you’re considering enhancing your smile, take a few minutes to view some of our before-and-after transformation photos … and then call us to schedule your appointment! Our friendly and caring team is here to help you LOVE your smile!

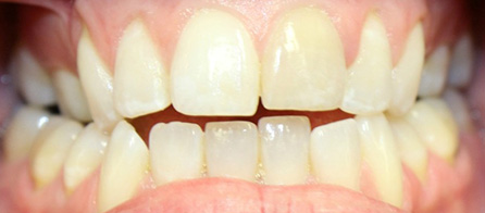
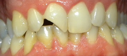
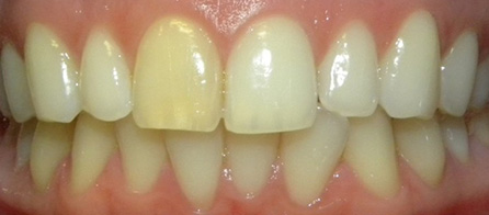
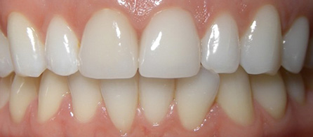
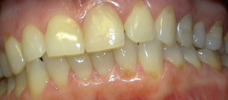
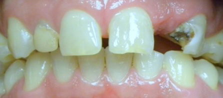
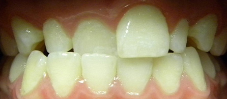
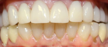
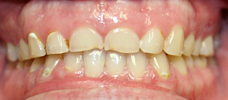
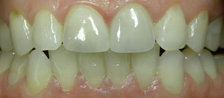
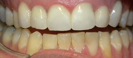
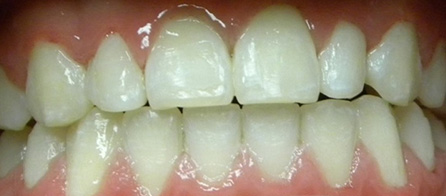
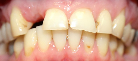
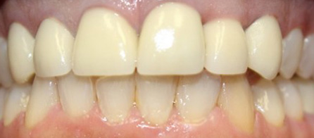
Bridge

Bridge (Before) Bridge (After)

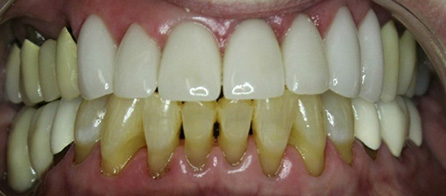
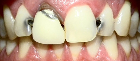
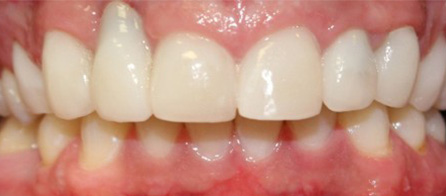
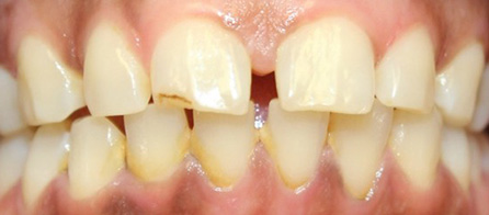
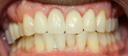
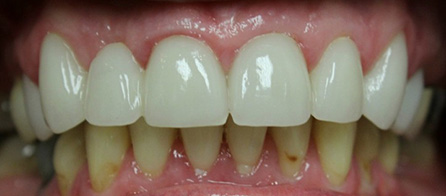
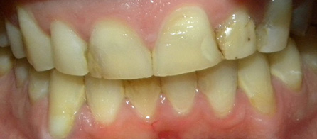
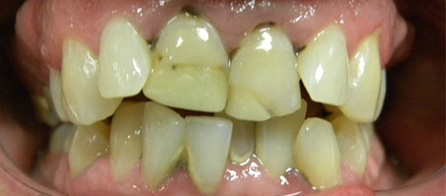
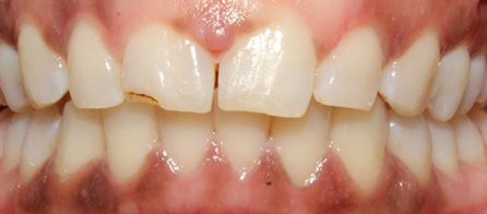
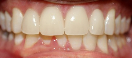
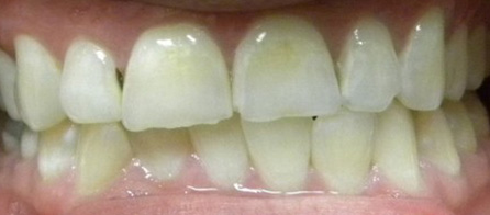
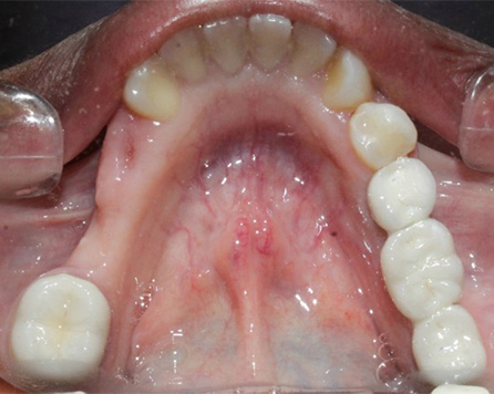
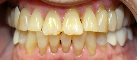
Bridge and Crowns

Bridge and Crowns (Before) Bridge and Crowns (After)

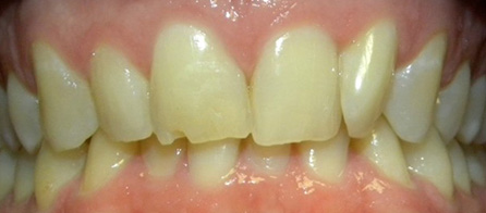
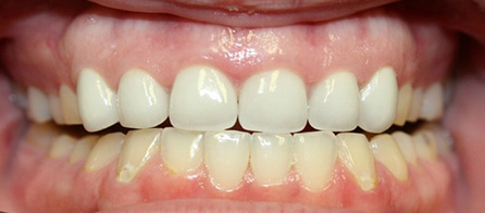
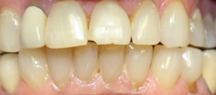
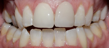
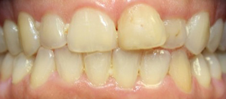
Crowns

Crowns (Before) Crowns (After)

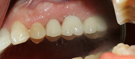
Crowns 2

Crowns 2 (Before) Crowns 2 (After)

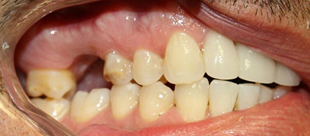
Crowns 3

Crowns 3 (Before) Crowns 3 (After)

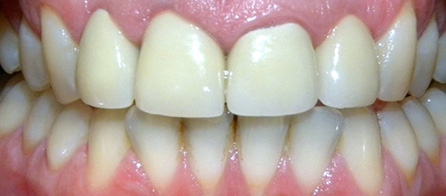
Crowns 4

Crowns 4 (Before) Crowns 4 (After)

Crowns 5

Crowns 5 (Before) Crowns 5 (After)

Crowns 6

Crowns 6 (Before) Crowns 6 (After)

Crowns 7

Crowns 7 (Before) Crowns 7 (After)

Crowns 8

Crowns 8 (Before) Crowns 8 (After)

Crowns 9

Crowns 9 (Before) Crowns 9 (After)

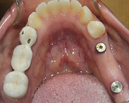
Crowns and Implants

Crowns and Implants (Before) Crowns and Implants (After)

Crowns and Invisalign

Crowns and Invisalign (Before) Crowns and Invisalign (After)

Crowns and Zoom Whitening

Crowns and Zoom Whitening (Before) Crowns and Zoom Whitening (After)

Implant - Pre-Op

Image

Implant - Endosteal Rod Placement Post-Op (1 Week)

Image

Implant Bridge

Image

Invisalign

Invisalign (Before) Invisalign (After)

Invisalign 2

Invisalign 2 (Before) Invisalign 2 (After)

Invisalign 3

Invisalign 3 (Before) Invisalign 3 (After)

Veneers

Veneers (Before) Veneers (After)

All-on-X Dental Implant 1

Before After

All-on-X Dental Implant 2

Before After