1046 Maple Ave
Call Now
Book Now
Home
About Us
Services
Bruxism Nightguards
Crown & Bridges
All-on-X Dental Implants
Dental Implants
Dental Sealants
Dental Veneers
Digital X-Rays
Emergency Dentist
Fillings
Fluoride Treatment
Full & Partial Dentures
Intraoral Camera
Invisalign
Oral Cancer
Preventive Care
Smile Analysis
Sports Mouthguards
Wisdom Teeth Removal
Reviews
New Patients
Specials
Smile Gallery
Testimonials
Blog
Contact
Social Posts
LUCKY
🍀
SMILES START WITH PERSONALIZED DENTAL CARE.
BOOK AN APPOINTMENT TODAY!
1046 Maple Ave
Call Now
Book Now
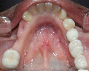
Implant Bridge
January 2, 2025
Call Now
(630) 345-8044
Home
About Us
Services
Bruxism Nightguards
Crown & Bridges
All-on-X Dental Implants
Dental Implants
Dental Sealants
Dental Veneers
Digital X-Rays
Emergency Dentist
Fillings
Fluoride Treatment
Full & Partial Dentures
Intraoral Camera
Invisalign
Oral Cancer
Preventive Care
Smile Analysis
Sports Mouthguards
Wisdom Teeth Removal
Reviews
New Patients
Specials
Smile Gallery
Testimonials
Blog
Contact
Social Posts